10年前の被せ物・詰め物
今も安心ですか?
1本8.8万円~
- 「CT」「マイクロスコープ」等の精密機器の活用
- 高精度の被せ物・詰め物の製作
- 原因から解決する再治療
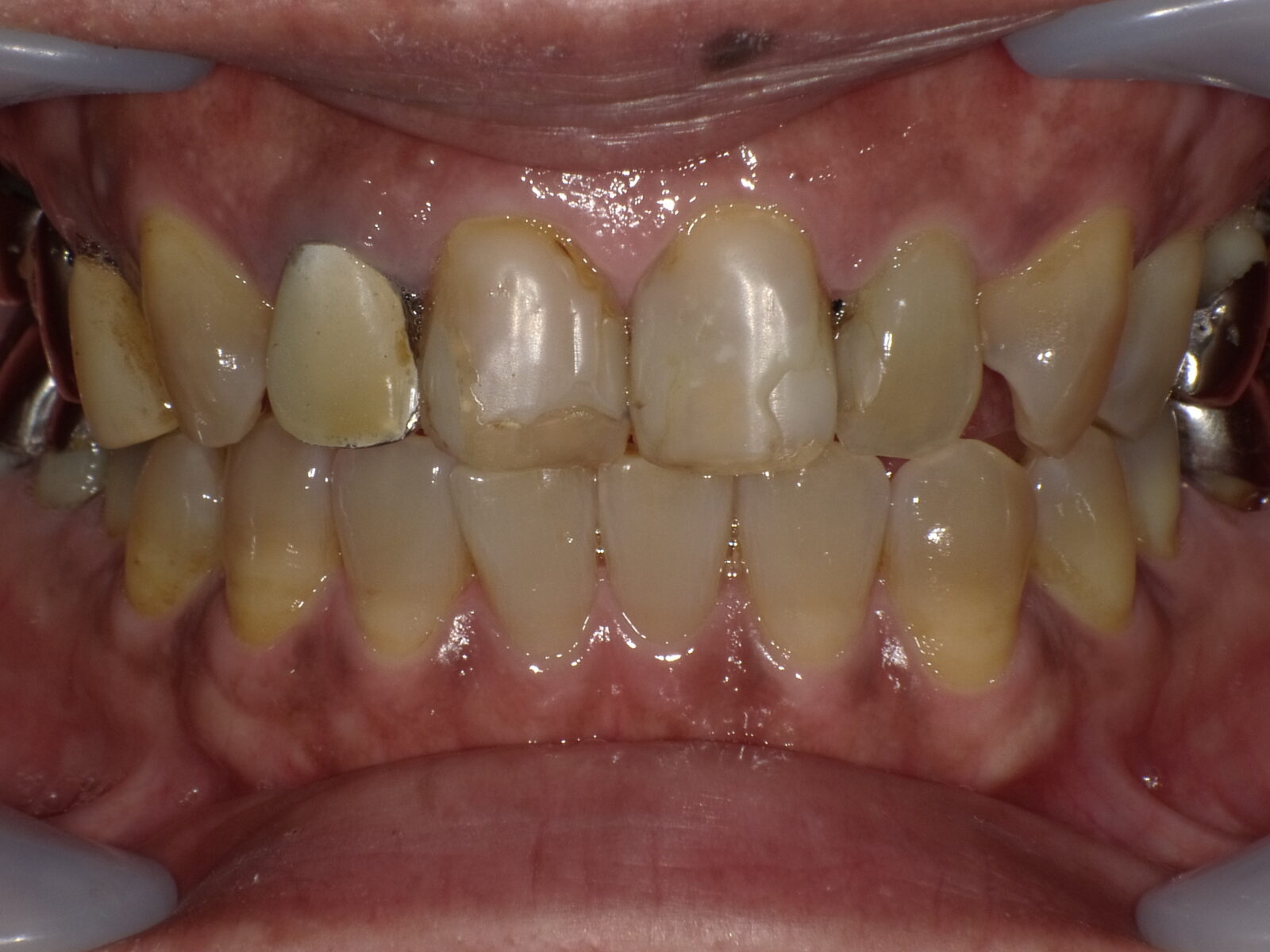
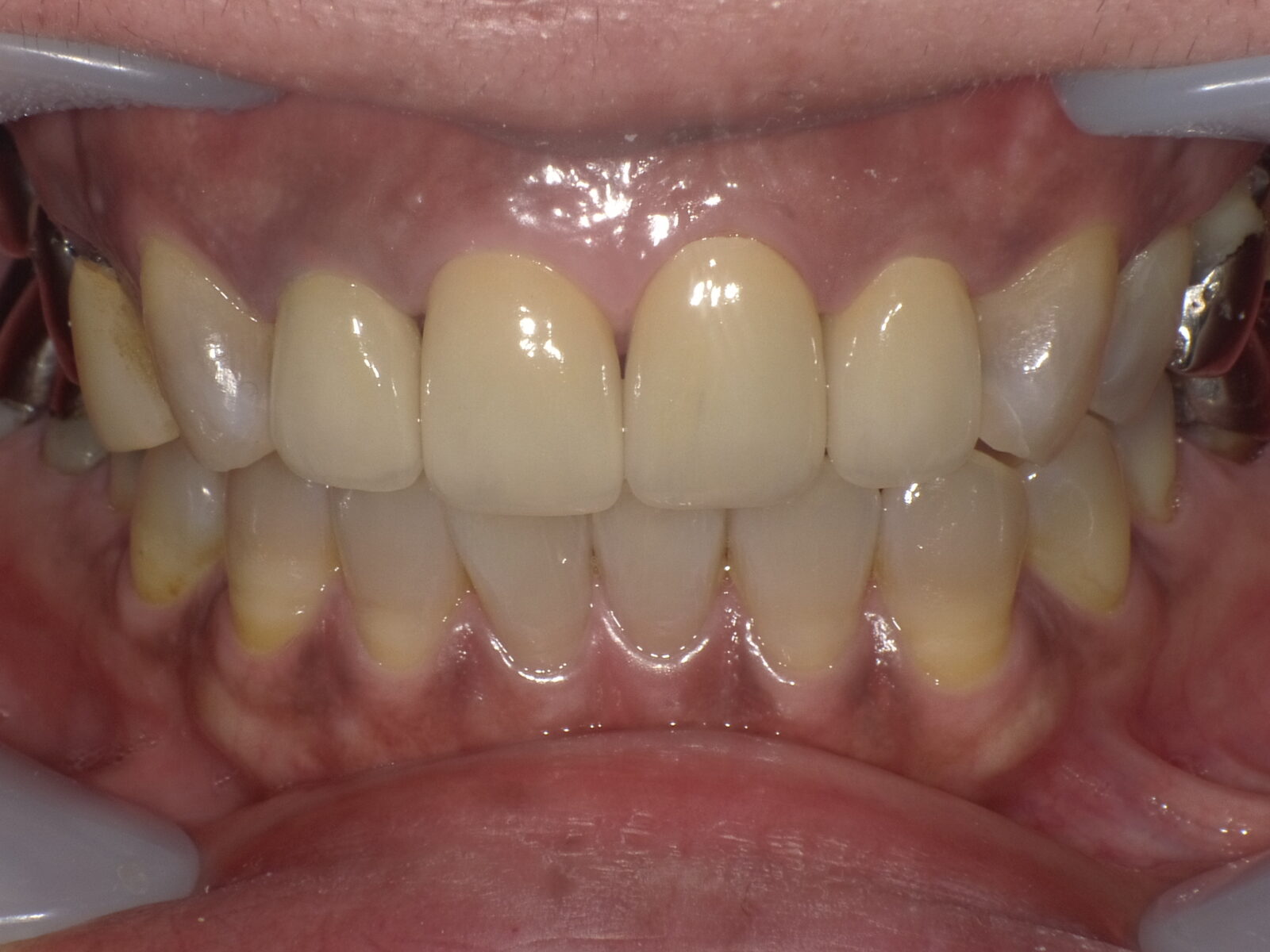
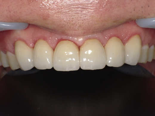
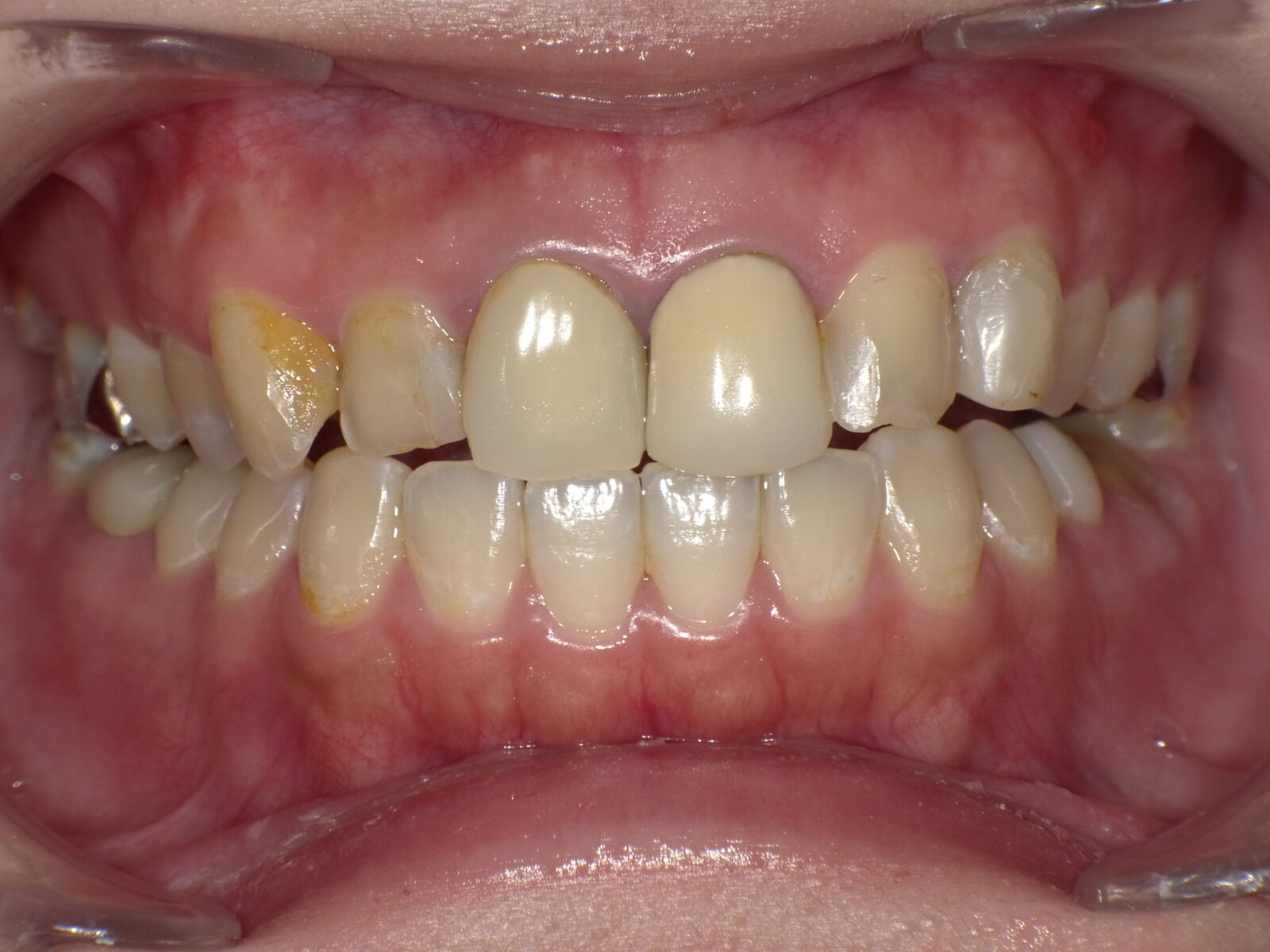
10年前の「白い歯」今も安心ですか?
かつて「見た目をきれいにしたい」「歯を白くしたい」と思って受けた審美治療。
当時は最新だった治療も、10年、20年と経つうちに少しずつ変化していきます。
☑なんとなく浮いている気がする
☑冷たいものがしみる
☑境目が黒ずんできた
そんな小さな違和感が出てきたら、それは再治療のサインかもしれません。
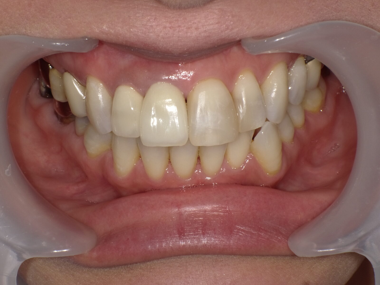
再治療が必要になる理由
被せ物や詰め物は、年月の経過とともに劣化や咬み合わせの変化が起こり、わずかなすき間が生じることがあります。
その小さなすき間から唾液や細菌が入り込むと、内部で虫歯が再発したり、根の中に感染が広がってしまうこともあります。
また、フロスを通すときに入りづらかったり、引っかかったりするのも、被せ物や詰め物の適合が悪くなっているサインのひとつです。
一見問題がなさそうでも、見えない部分で少しずつ劣化が進んでいることがあります。
特に、昔の「早く・安く・見た目重視」の治療では、当時はきれいでも耐久性や適合精度が十分でないケースもあり、10年を過ぎたあたりから不具合が現れることが少なくありません。
注意!再治療をせずに放置するのは危険です
被せ物のわずかなヒビやすき間は、見た目では気づきにくいものです。
しかし、そのわずかな隙間から入り込んだ唾液一滴の細菌が、歯の内部を通って根の先まで感染を広げてしまうことがあります。
その結果神経が炎症を起こしいかのような症状が出る場合があります。
・根管治療が必要になる
・被せ物の下で虫歯が再発する
・最悪の場合、歯を残せなくなる
「見た目はまだきれいだから大丈夫」と思っていても、内部では確実に時間の経過による変化が起きています。
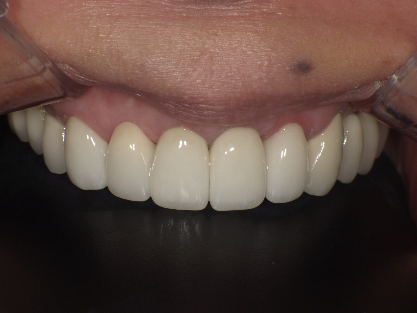
今だからこそ、もう壊れない治療を
40代・50代は、歯を一生守るための分岐点。むらつ歯科では、ただ白くするだけの審美治療ではなく、見た目・機能・将来の安心をすべて考えた再治療をご提案しています。
「昔の治療をやり直したい」「もう壊れない被せ物にしたい」そんな方は、ぜひ一度ご相談ください。今の技術で、これからの20年を安心して笑える歯を取り戻しましょう。
むらつ歯科の再治療は「原因」から見直します
むらつ歯科では単に古い被せ物を取り替えるだけではなく、「なぜ劣化したのか」「どこから細菌が入ったのか」までを丁寧に調べ、再発しないための原因治療を行っています。具体的な取り組みを紹介します。
精密機器を活用した診断
CTやマイクロスコープを用いて、肉眼では見えない被せ物の内部や根の状態を細かくチェックします。
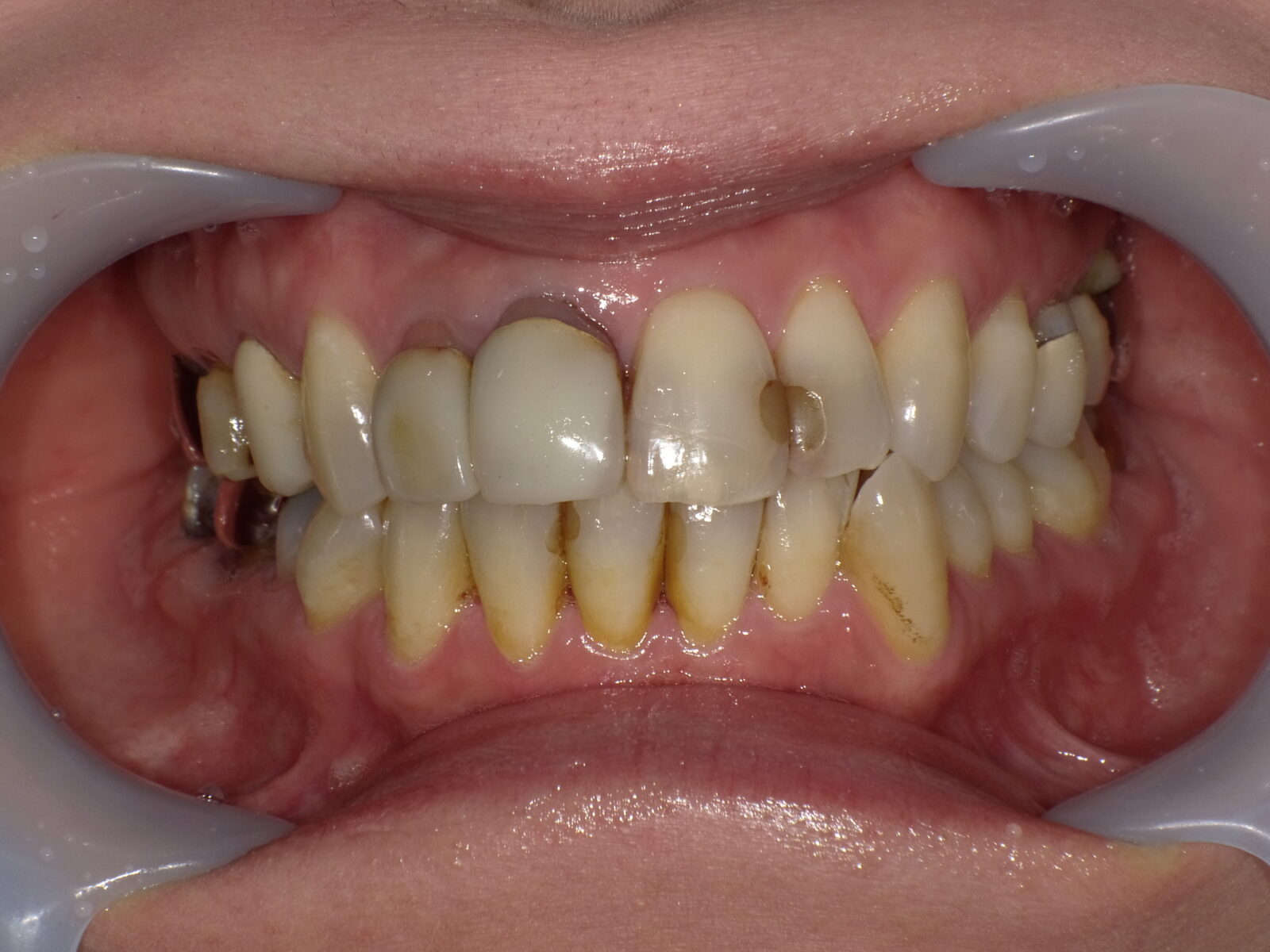
感染の除去と土台の再構築
劣化した被せ物の下では、すき間から入り込んだ細菌により虫歯だらけになっているケースも珍しくありません。
当院では、まずは古い被せ物を外し、内部の感染源を徹底的に除去して健康な状態に戻すことを最優先としています。
そのうえで、歯の土台を理想的な形に整え、精密に適合する被せ物・詰め物を作製することで、再発しにくく、長く安心できる状態を目指しています。
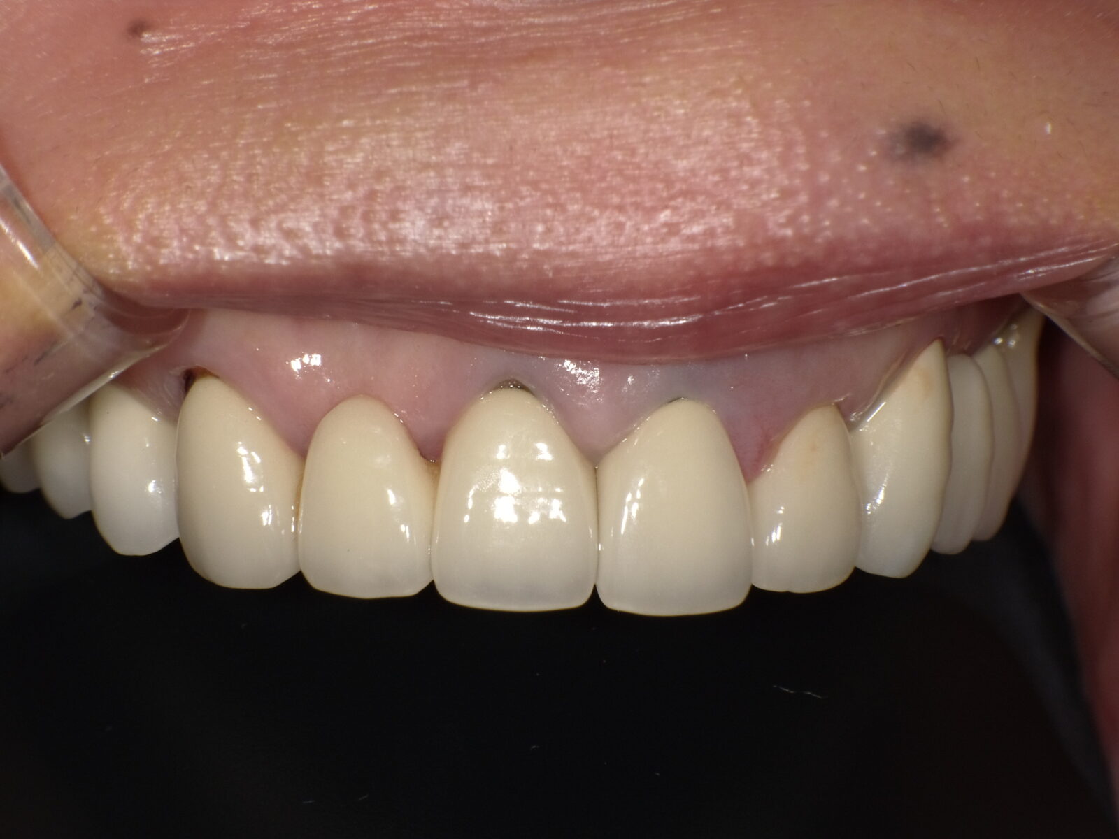
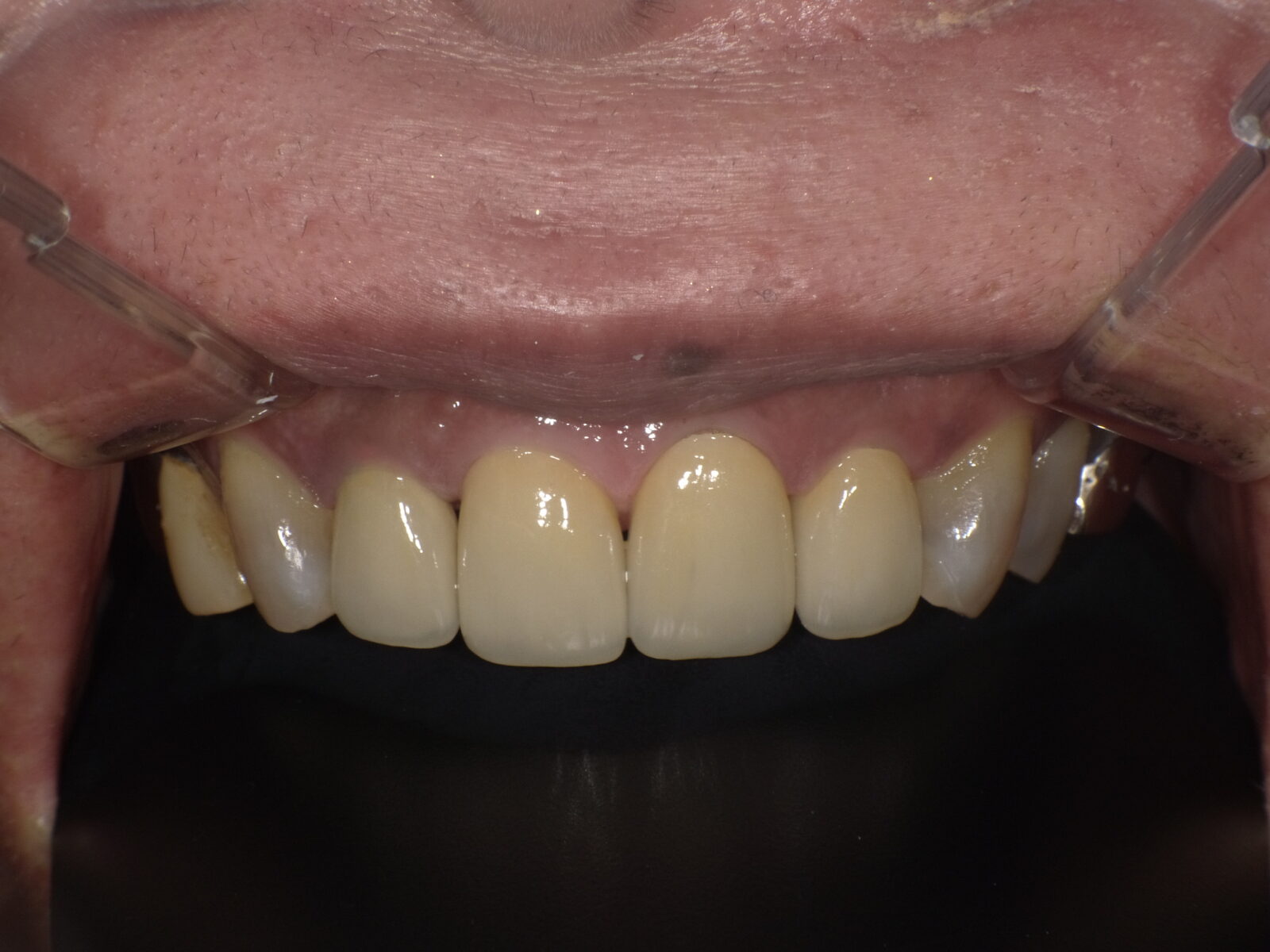
適合精度の高い被せ物を製作
噛み合わせや歯肉との境目を精密に計測し、ぴったり合う被せ物をオーダーメイドで製作します。
当院では1dayセレックシステムを導入しており、口腔内を3Dスキャンしてその場で精密な詰め物・被せ物を設計・加工することが可能です。
これにより、従来の型取りでは難しかった高い適合性・精度・スピードを両立できます。
さらに、常駐の歯科技工士とも密に連携し、色・形・質感まで細部にこだわった審美性の高い補綴物を製作しています。
「早いだけではなく、長持ちし、見た目にも自然な仕上がり」を実現するための体制を整えています。
10年後・20年後も安心できる歯のために
被せ物や詰め物は、時間とともに必ず変化していきます。
しかし、内部の状態を丁寧に整え、精密な補綴物を正しく作り直すことで、歯はもう一度、健康で強く、そして美しい状態を取り戻すことができます。
むらつ歯科では、今回の再治療を「歯の未来を守るための大切なステップ」と考え、原因から見直す治療と、高精度な補綴物の製作にこだわっています。
これからの10年、そして20年を安心して笑えるように、気になる症状があればいつでもお気軽にご相談ください。
初診「個別」相談へのご案内
当院では、患者さんが抱えていらっしゃるお口のお悩みや疑問・不安などにお応えする機会を設けております。どんなことでも構いませんので、私たちにお話ししていただけたらと思います。
ご興味がある方は下記からお問い合わせください。

〒812-0011
福岡市博多区博多駅前3-26-29
九勧博多ビル 1階
JR博多駅から3分