前歯の白いしみを、
自然に目立たなく整える
アイコンは、歯を削らずに白濁を改善する審美治療です。
健康な歯を守りながら、見た目の悩みに応えます。
- ホワイトスポットに特化した治療
- 歯質を削らず、ダメージを最小限に
- レジン治療のような黄ばみが起こりにくい
- 短時間での改善が期待できる
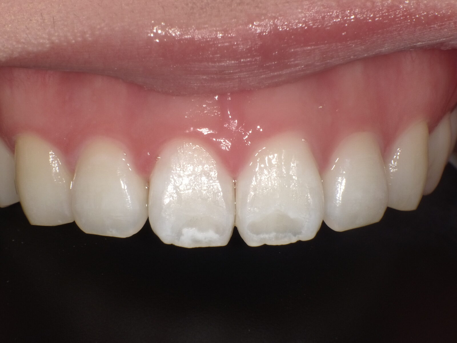
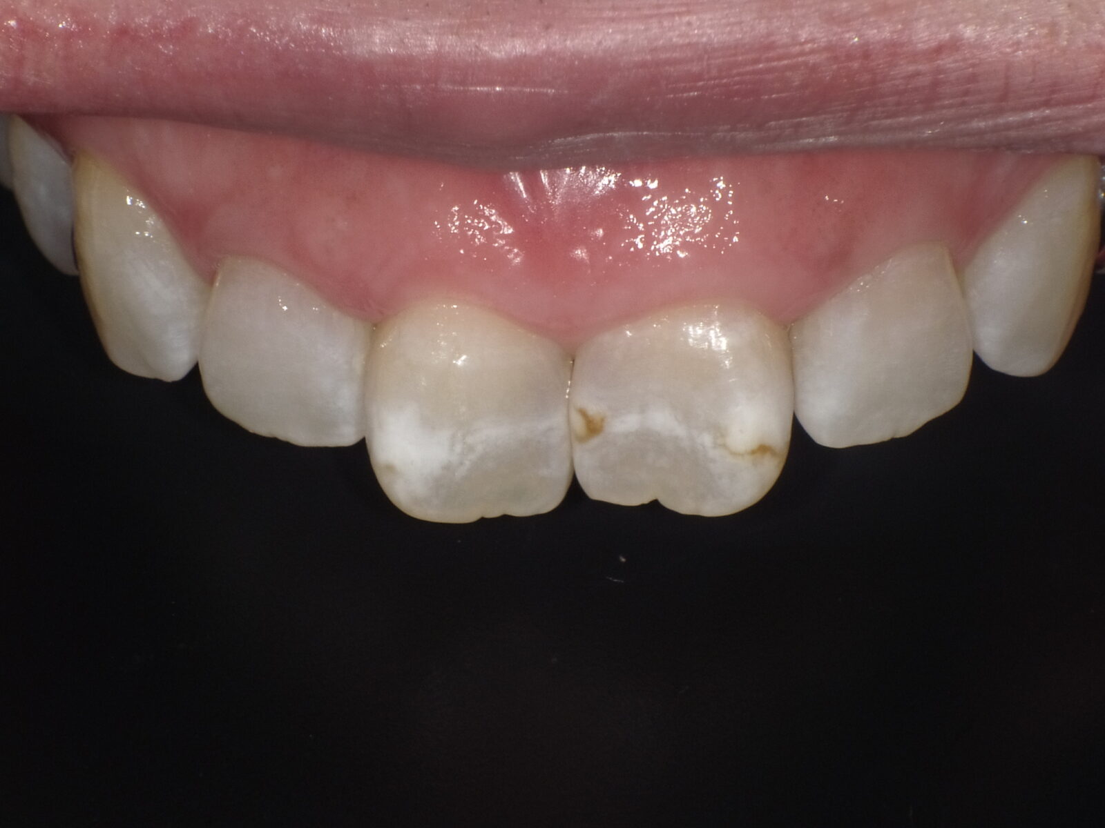
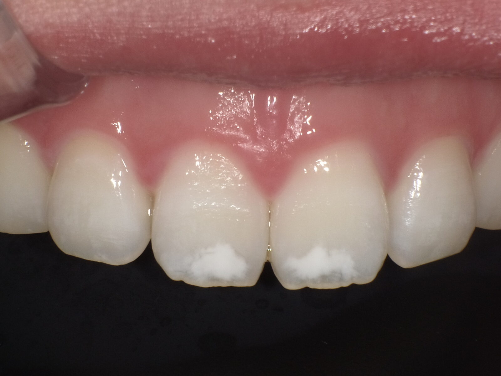
気になるホワイトスポット(歯の白濁/斑点)を改善します!
鏡を見るたびに前歯の白いシミが気になる…
それは「ホワイトスポット」と呼ばれる、歯の表面にできる白く濁った斑点です。
この白い部分は、エナメル質のミネラルが一部失われているサイン。
初期むし歯や、子どもの頃のエナメル質形成不全などが原因で生じることがあります。 見た目の印象にも影響するうえ、放置するとむし歯に進行するリスクもあります。
従来は、コンポジットレジンやラミネートベニアなどで歯を削って修復する方法しかありませんでした。 しかし、ドイツ製の薬剤「アイコン(Icon)」を使用すれば、歯を削らずに自然な見た目を取り戻すことが可能です。
治療時の痛みもほとんどありません。
「人と話すときについ口元を隠してしまう」
「写真で笑うのが苦手になった」
そんなお悩みをお持ちの方は、ぜひ一度ご相談ください。
削らない/痛くない「アイコン(icon)」治療
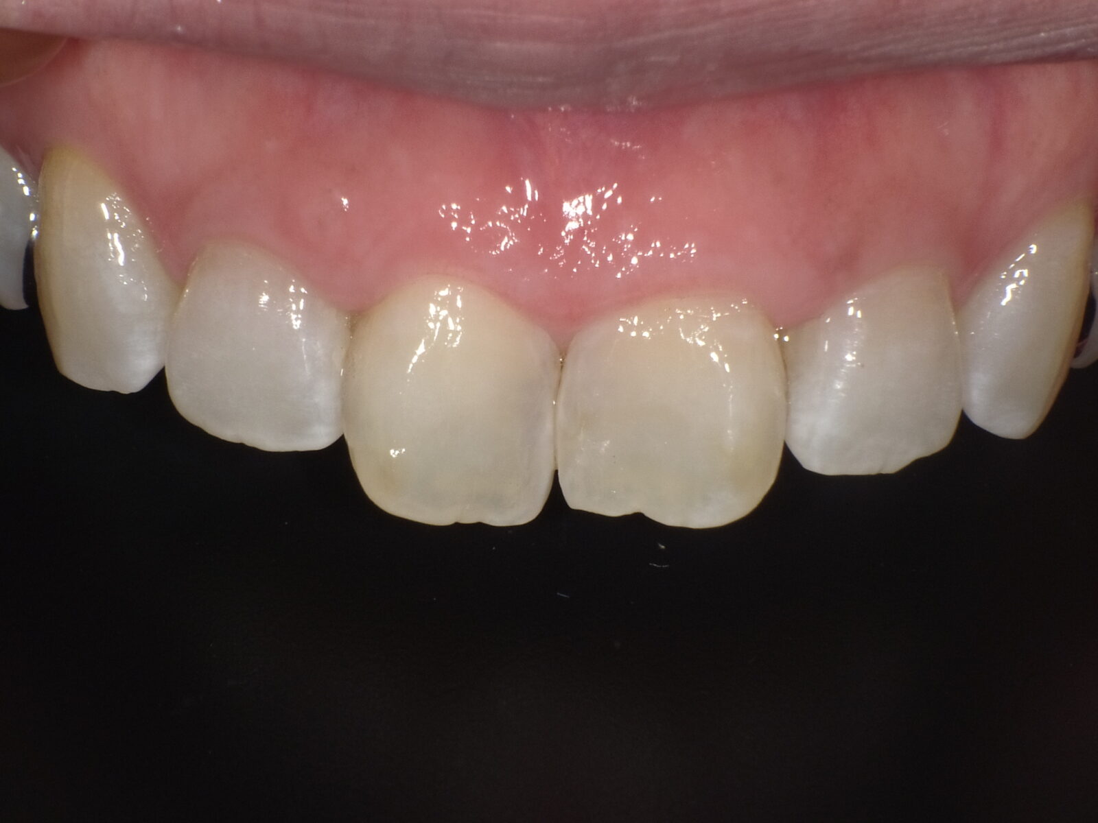
アイコン(Icon)は、ドイツの歯科メーカー「DMG社」が開発した最新の治療システムです。 従来のように歯を削る必要がなく、特殊な薬剤を白濁部分に浸透させて光の屈折を整えることで、 ホワイトスポット(歯の白い斑点)を自然に目立たなくします。 歯を傷つけずに、透明感のある健康的な見た目へと改善することが可能です。
アイコン治療の特徴
- 歯を削らずに治療できる 痛みがほとんどないため、麻酔も不要です。
- 自然な色合いに仕上がる 周囲の歯の色にしっかり調和し、自然で美しい仕上がりになります。
- 汚れや着色がつきにくい 表面がなめらかに整うことで、再着色や汚れの付着を防止できます。
- 初期むし歯の進行を抑制 薬剤が歯質を補強し、むし歯の進行を防ぐ効果も期待できます。
「アイコン(icon)」治療の注意点は?
■治療の効果に個人差があります
白濁の深さや原因によっては、改善が難しいケースもあります。
■治療後のメンテナンスが必要になる場合があります
浸透させた樹脂(レジン)は、経年でわずかに変色したり欠けることがあるため、定期的な確認をおすすめしています。
■薬剤に対する反応が出ることがあります
使用する薬剤に対して、ごくまれにアレルギー反応が生じる場合があります。
ホワイトスポット(歯の白濁・斑点)治療の流れ
ホワイトスポット治療(アイコン治療)は、1本あたりおよそ30分ほどで完了する、比較的短時間の治療です。
歯を削らず、痛みもほとんどないため、多くの患者さまにご好評いただいています。
① 表面のクリーニング
薬剤がしっかり浸透するよう、まず歯の表面を丁寧に清掃します。
② エッチング(前処理)
エナメル質に微細な孔(あな)を作り、薬剤が浸透しやすい状態に整えます。
③ レジン(樹脂)の浸透
白く濁った部分に、専用の樹脂をゆっくりと浸透させていきます。
④ 光で硬化
樹脂を光で固めて仕上げます。これで治療は完了です。
初診「個別」相談へのご案内
当院では、患者さんが抱えていらっしゃるお口のお悩みや疑問・不安などにお応えする機会を設けております。どんなことでも構いませんので、私たちにお話ししていただけたらと思います。
ご興味がある方は下記からお問い合わせください。

〒812-0011
福岡市博多区博多駅前3-26-29
九勧博多ビル 1階
JR博多駅から3分