【金属アレルギー治療】
その症状、
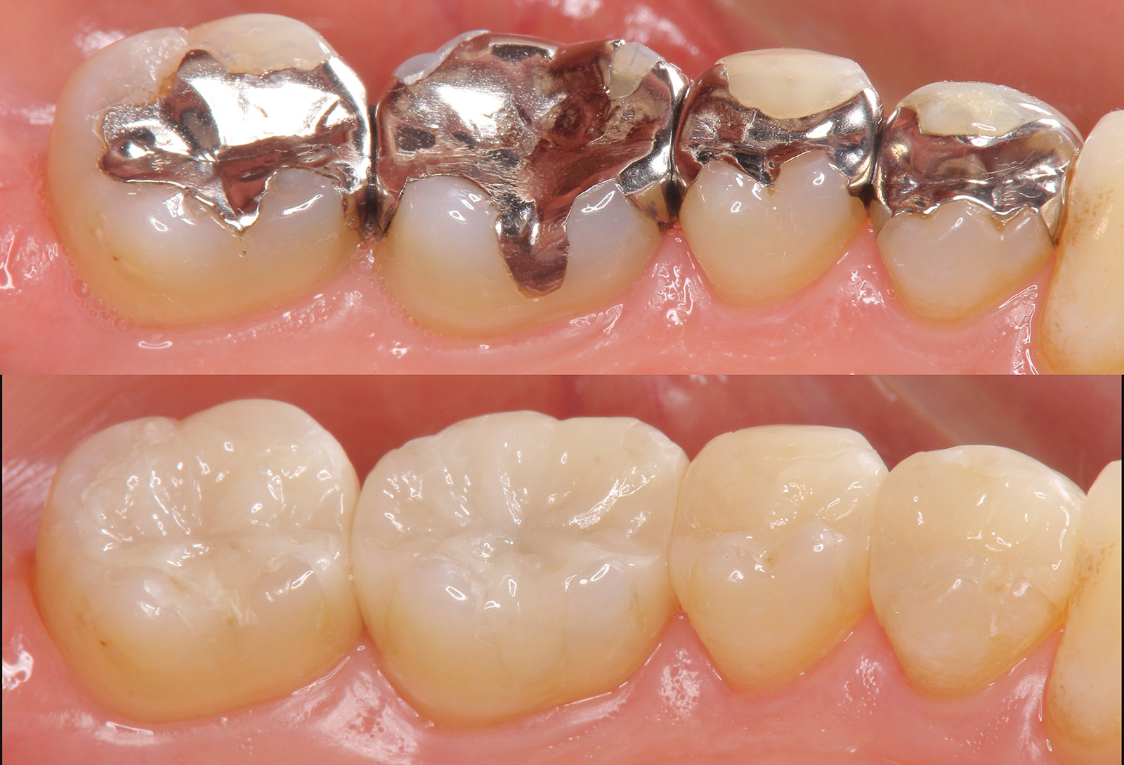
銀歯が原因かも?
「メタルフリー」の素材に置き換えることで、症状の改善が期待できます。
※「アマルガムの除去」も対応
銀歯と「金属アレルギー」
ネックレスや指輪などの金属製品でかゆみや湿疹が出る方は、 金属アレルギーの可能性があります。
実は、歯の治療で使われた銀歯がその原因になることもあるんです。 銀歯に含まれる金属成分は、唾液によって少しずつ体内に溶け出します。 それが体内のたんぱく質と結合し、 アレルゲン(アレルギーの原因物質)となってしまうことがあります。
以下は、金属アレルギーが全身に与える影響です。
☑口内の症状(口内炎、歯肉炎、口唇炎、舌炎など)
☑全身の症状(アトピー性皮膚炎、扁平苔癬、皮膚そう痒症、ステロイド皮膚症、掌蹠膿疱症など)
もし心当たりがある場合、 銀歯による金属アレルギーが関係しているかもしれません。当院では、金属アレルギーの検査も行っております。 気になる方は、どうぞお気軽にご相談ください。
当院の「金属アレルギー」治療
当院では、次のような流れで金属アレルギー治療を行います。
■STEP①検査
お肌の発疹やお口の中の状態を丁寧に確認し、必要に応じて金属アレルギーのテストも行います。
症状の原因を正確に見極めることで、安心して治療を受けていただけるよう努めています。
■STEP②診断
■STEP③詰め物・被せ物の交換
体質に合わせて、安心できる素材への交換治療をご提案します。
金属アレルギーを起こさない「メタルフリー」な歯科素材
当院では、次のような「
メタルフリー」素材を用意しています。
金属アレルギーの心配がなく、見た目も自然で美しい仕上がりです。
ジルコニアセラミック
ジルコニアは、見た目の美しさと高い耐久性を兼ね備えたセラミック素材です。
金属を使わない身体にやさしい陶器素材で、強度にも優れているため、食いしばりの強い方にも安心しておすすめできます。
オールセラミック
オールセラミックは、明るく自然な色合いが魅力のセラミック素材です。 ジルコニアよりもやや耐久性は劣りますが、噛む力が強くかからない部分であれば安心して使用できます。
コラム水銀を含んだ「アマルガム」を除去します
かつて日本では、虫歯治療の詰め物として「アマルガム」という金属が使われていました。 アマルガムには約50%の水銀が含まれており、身体への影響が懸念されています。
有機水銀(水俣病の原因物質)とは異なるものですが、頭痛・めまい・慢性的な疲労感などを引き起こすことがあるといわれています。
そのため、ドイツやスウェーデンではすでに使用が禁止されています。
日本では1990年頃まで、アマルガムが一般的に使われていました。
そのため、昔に虫歯治療を受けた方で、原因のわからない頭痛やめまいがある場合、口の中にアマルガムが残っている可能性があります。
もし心当たりがある方は、一度ご相談ください。
※2016年以降、アマルガムは保険適用外となり、現在はほとんど使用されていません。
初診「個別」相談へのご案内
当院では、患者さんが抱えていらっしゃるお口のお悩みや疑問・不安などにお応えする機会を設けております。どんなことでも構いませんので、私たちにお話ししていただけたらと思います。
ご興味がある方は下記からお問い合わせください。

〒812-0011
福岡市博多区博多駅前3-26-29
九勧博多ビル 1階
JR博多駅から3分