1Day治療

092-476-0808

無料相談予約 LINE相談
キービジュアル
審美歯科「専門ドクター」在籍

【年間1,000症例以上】
1本8.8万円~

白く健康
1日取り戻せる

  • ダイレクトボンディング
  • 1Dayセレック
すぐにでも歯をキレイにしたい方、
当院にご相談ください。
むらつ歯科クリニック × MEGUMI
トークテーマ「歯と美しさ」
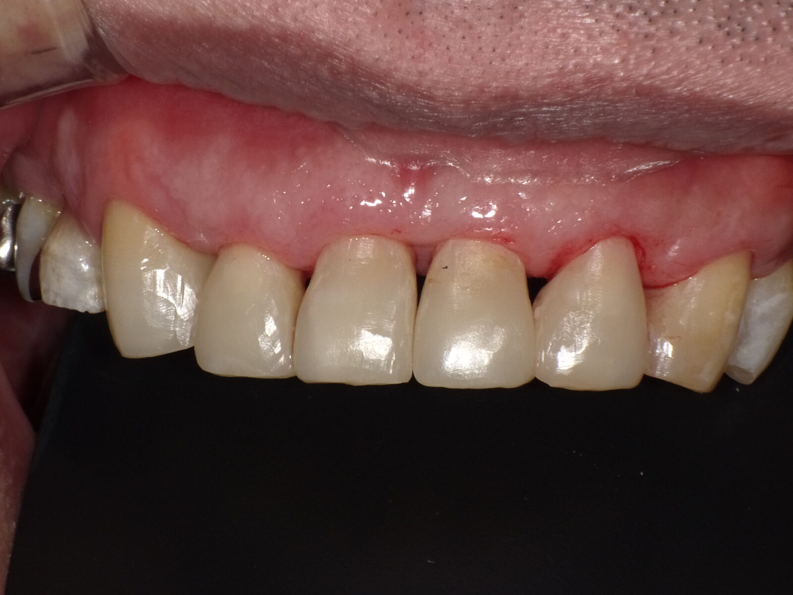
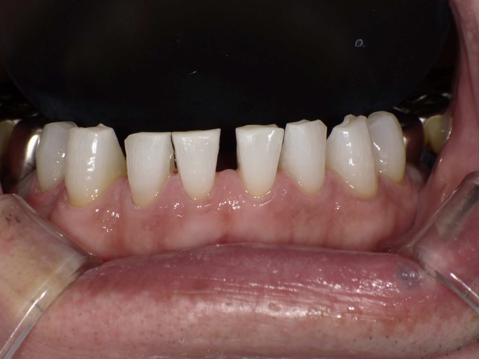
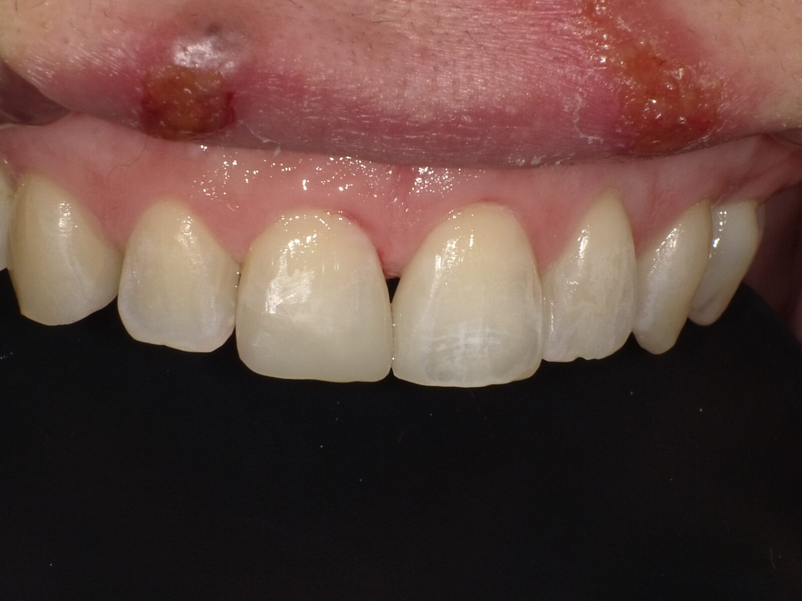
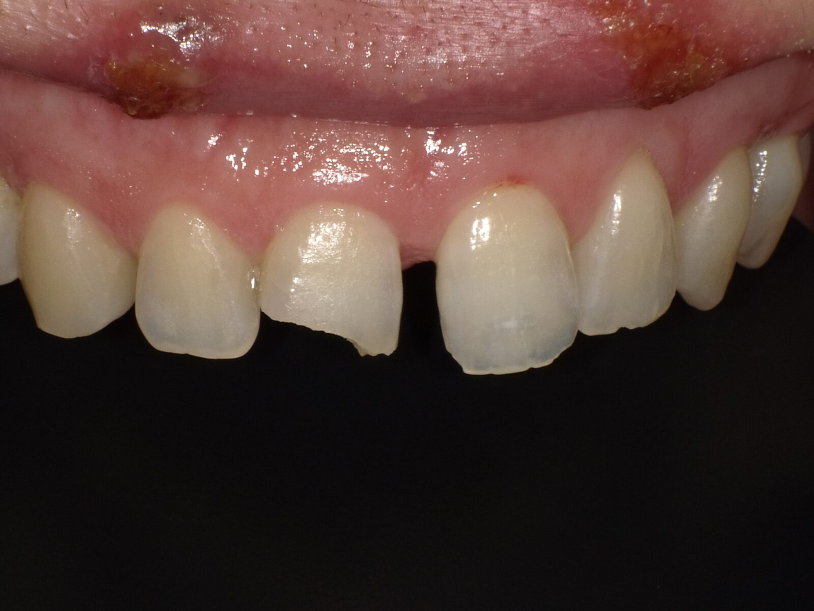
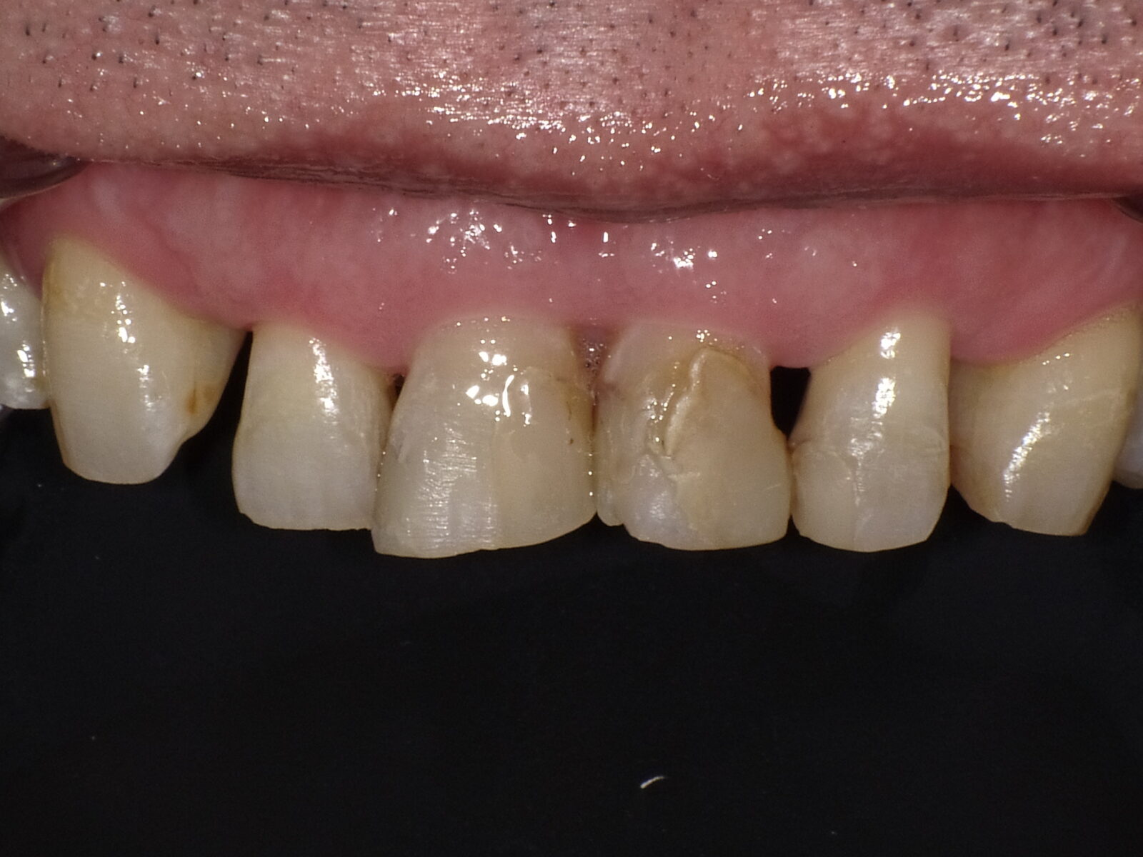
  • 治療前
  • 治療後
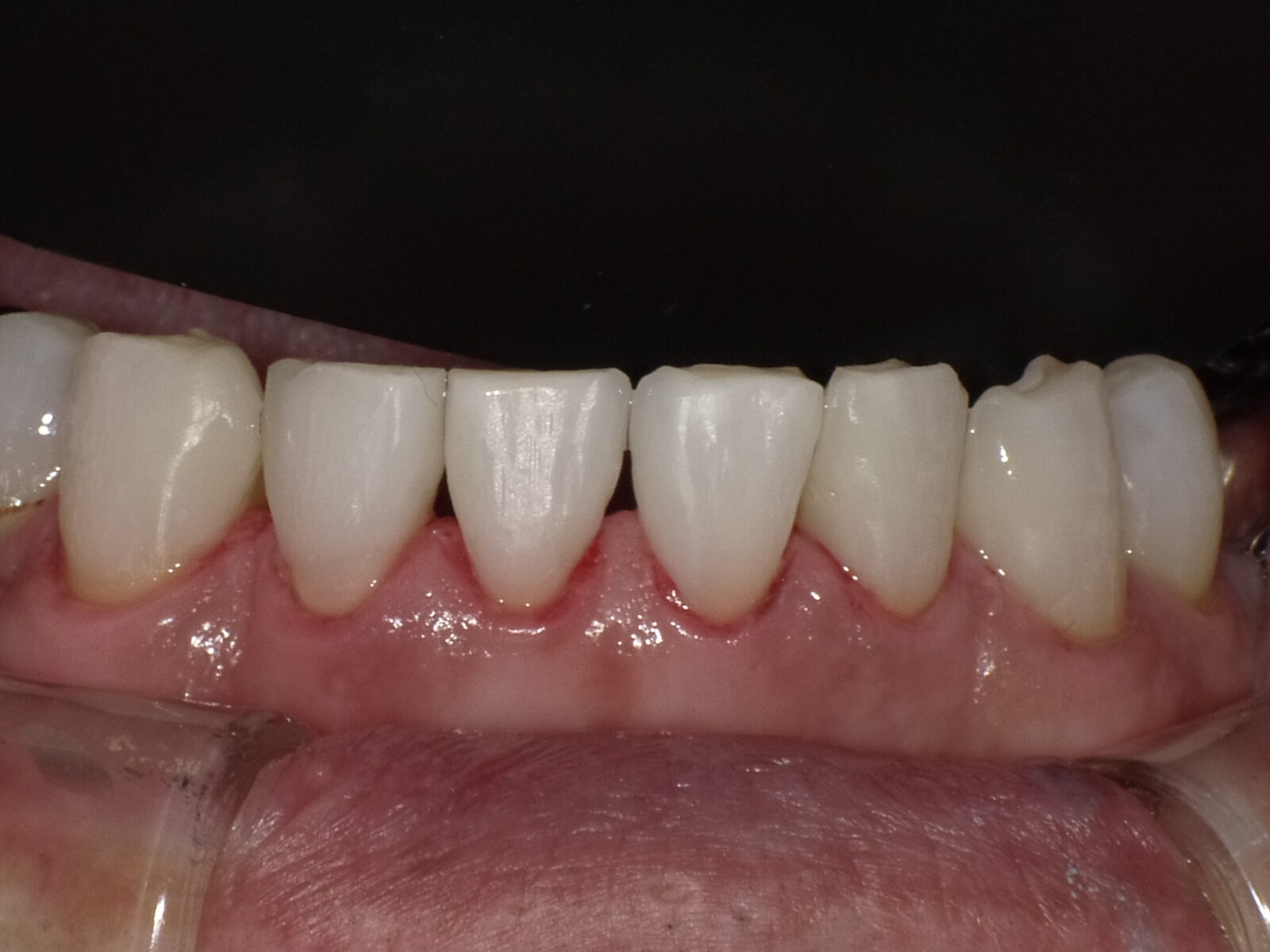
  • 治療前
  • 治療後
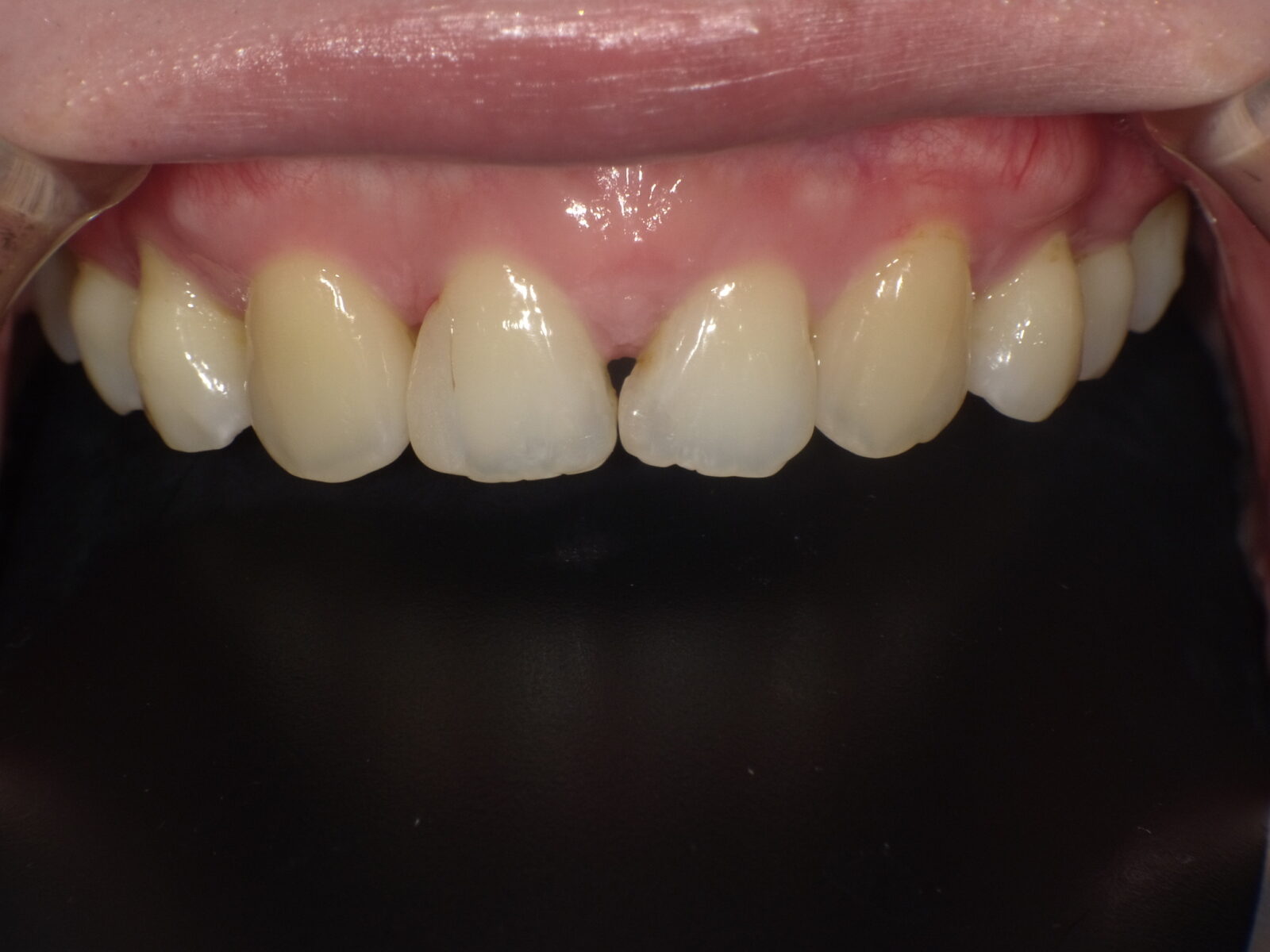
  • 治療前
  • 治療後
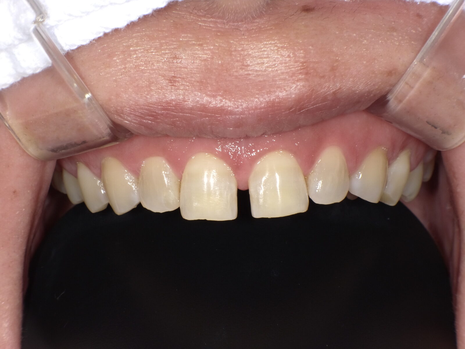
  • 治療前
  • 治療後
  • 治療前
  • 治療後
  • 治療前
  • 治療後

早くて正確な審美治療

審美治療の目的は口元を美しく整えることです。しかし、ただ白くてきれいなだけでは歯の役割として不十分です。
当院の審美セラミック治療は、美しさはもちろんのこと、しっかりと噛めて長く機能する歯を目指しています。

また、大切なお仕事やイベントなどに向けて「急ぎで歯を白く治したい」という患者さんもいらっしゃることでしょう。
そんな方のご希望にあった、短期間で治療を終えられるプランも用意しています。

以下にその詳細をご紹介します。

手早く自然な白さの「ダイレクトボンディング」

ダイレクトボンディングは、「コンポジットレジン」という樹脂とセラミックを組み合わせた変形自在の材料を、歯を削った部分に詰めて補う治療法です。
コンポジットレジンは短時間で硬化して歯に定着します。また、天然歯の色に近い仕上がりも魅力です。

以下のような方には、この治療法をおすすめします。
✅ なるべく時間とお金を抑えたい方
✅ 小さい虫歯を手早く治したい方
✅ 銀歯の見た目が気になっている方


一番のメリットは、基本的に一回の治療で完了することです。
ただし、細かい部分の補填に向いている治療法のため、大きな被せ物が必要なケースだと対応できないことがあります。
下の動画では、当院で治療したダイレクトボンディングの症例を紹介しています。
本物の歯のような、自然な白さの仕上がりをご確認ください。

被せ物を即日作製できる最先端の「セレックシステム」

セレックシステム」とは、歯科技術の発展するドイツで開発された最新のCAD/CAMシステムです。
セラミックの詰め物や被せ物をコンピューター上で設計し、専用機械で製作まで行うことができます。セレックシステムを活用すれば、この工程を1日で行うことが可能です。

他の多くの歯科医院と異なり、当院では歯科技工士が常駐しているため、セレックシステムと合わせて非常に早く、精巧な詰め物や被せ物を提供することができます

特長①審美性と噛み心地の両立

当院では色合い豊かなセラミック素材を取り揃えていますので、患者さん自身の歯と調和し、美しい見た目を実現することができます。
さらに、使用する素材は耐久性にも優れており、高品質な仕上がりを提供します。

特長②デジタル技術で早くて高精度な復元

まず3D光学スキャナーを用いて歯の型取りを行い、そのデータをもとにコンピューターで詰め物や被せ物のデザインを設計します。それを読み込ませた専用のミリングマシン(削り出し機)が自動でセラミックを削り出します。

この一連のプロセスは全てデジタルシステムによって管理されており、歯型の模型を作ることから始まる従来の手作業に比べて、作製時間を大幅に短縮できます。また、精度も向上しています。

精密な治療を可能にする高性能機器

美しいだけでなく、正常に機能し続ける歯を提供するためには、緻密で正確な治療が求められます。
当院では、そのために高性能な治療機器を導入しています。

光学スキャナを用いた型取り

被せ物や詰め物の作製には「歯型の採取」が重要です。従来は「印象材」と呼ばれる粘土状の素材を使用し、お口の中に入れて歯型を取る方法が一般的でした。
しかし、この方法では異物感が強く、嘔吐反射がある方には負担となっていました。

当院では、光学スキャナによるデジタル型取りを導入しています。
ペン型の小型カメラでお口の中を撮影するだけで、精密な歯型データを取得できます。大きな器具をお口に入れる必要がなく、不快感やストレスが大幅に軽減されます。

マイクロスコープ/高倍率ルーペ

詰め物や被せ物の治療において、歯との間に小さな隙間も生じさせないことが重要です。このわずかなズレが原因で、虫歯の再発や被せ物の脱落が起こる可能性が高まります。

そこで、当院ではマイクロスコープ高倍率ルーペを使用して治療部位を拡大し、詳細に確認しています。これらの機器を用いることで、視野が肉眼の数倍から十数倍にまで拡大されます。その結果、歯と被せ物の境目や形状の細かな凹凸までも視認でき、削る量や調整箇所を正確に見極めることが可能です。

神経を守る審美治療

セラミックの被せ物を装着するために、従来は歯を大きく削ることが多く、その結果として「抜髄」と呼ばれる歯の神経を取る処置が行われる場合があります。

しかし、歯の健康を考慮すると、安易に神経を取ることは避けるべきです。神経を失った歯は栄養を受け取れなくなり、徐々に弱くなってしまいます。

当院では審美治療であっても、歯が健康であることが大切だと考え、可能な限り歯を削る量を減らし、神経を残す治療を心掛けています。

注目銀歯による金属アレルギーの発症

金属アレルギーというと、ネックレスやピアスなどのアクセサリーを連想するかもしれません。しかし、歯科治療で使用される銀歯などの材料がアレルギー反応の原因となることもあります。

・口内炎がなかなか治らない
・アトピー性皮膚炎が悪化した
・原因不明の皮膚トラブルが続いている


これらの症状は、金属アレルギーが関連している可能性があります。もし思い当たる症状がありましたら、一度当院へご相談ください。

金属アレルギーへの対応について詳しくはこちらをご覧ください。

回数無制限の5年保証

当院でお作りするセラミック製の詰め物・被せ物には、回数無制限5年の保証をお付けしています。万が一、ヒビ割れや破折など不具合が生じた場合でも、保証期間内であれば無料で再治療をお受けいただけます。
その都度しっかりとカウンセリングを行い、納得のいく仕上がりになるまで丁寧に調整いたします。

ただし、故意の破損、形態修正や色修正は対応できない場合があります。
※再診料、型取代、仮歯代等は別途必要です。

初診「個別」相談へのご案内

当院では、患者さんが抱えていらっしゃるお口のお悩みや疑問・不安などにお応えする機会を設けております。どんなことでも構いませんので、私たちにお話ししていただけたらと思います。
ご興味がある方は下記からお問い合わせください。

ご予約・お問い合わせ

092-476-0808

メール予約 LINE相談

〒812-0011
福岡市博多区博多駅前3-26-29
九勧博多ビル 1階

JR博多駅から3分