わずか数回の来院で、歯並びを改善!
短期間で歯並びを改善する
「セラミック矯正」
1本8.8万円~
「短期間」で歯並び、歯の形・色を整えてみませんか?
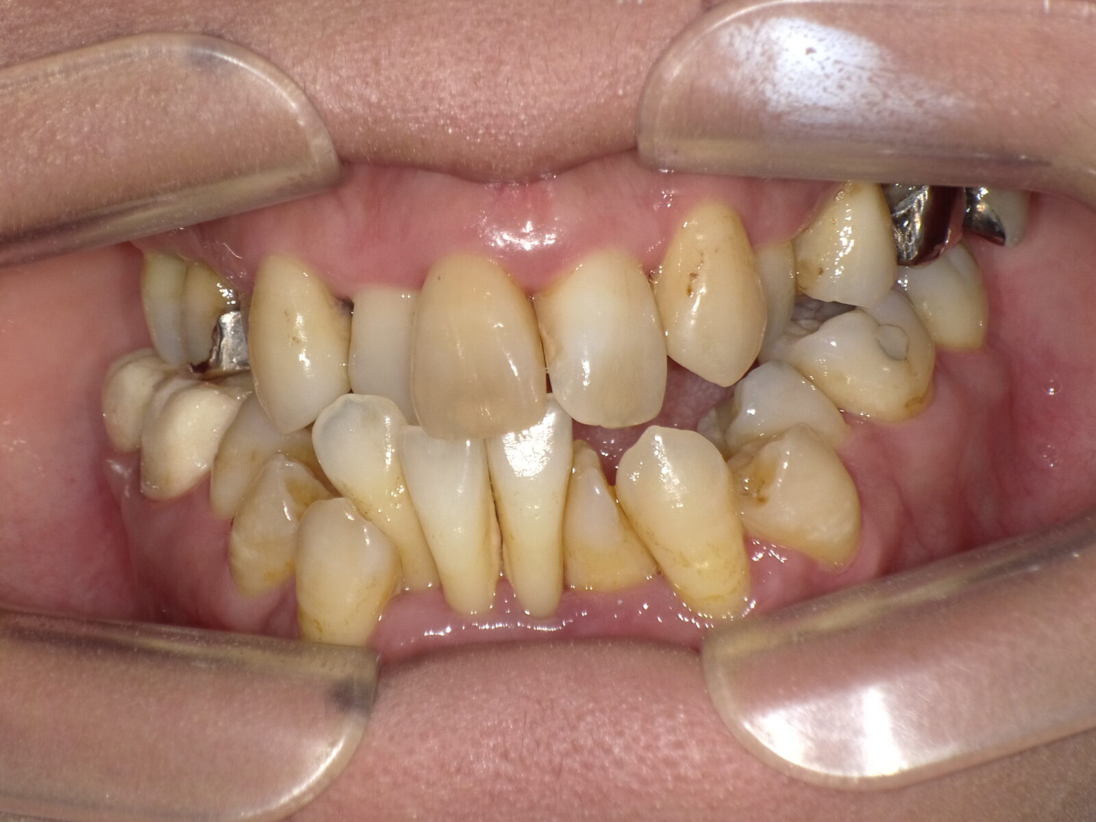
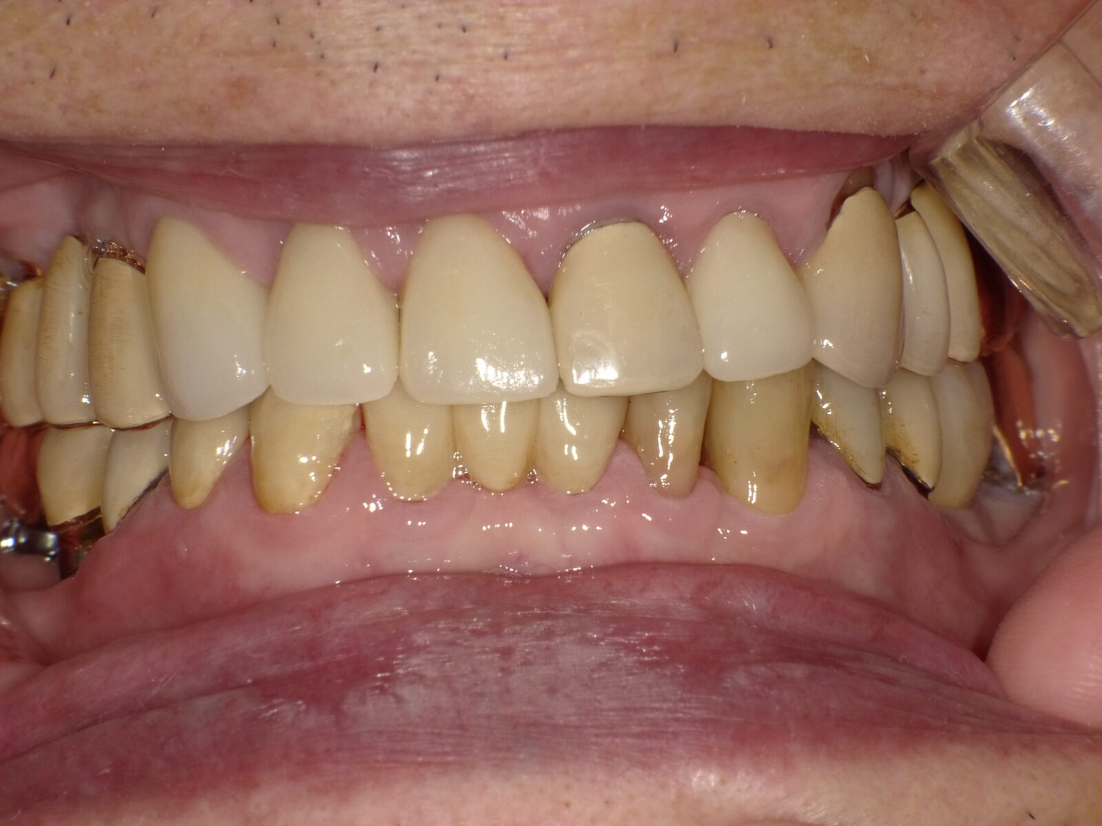
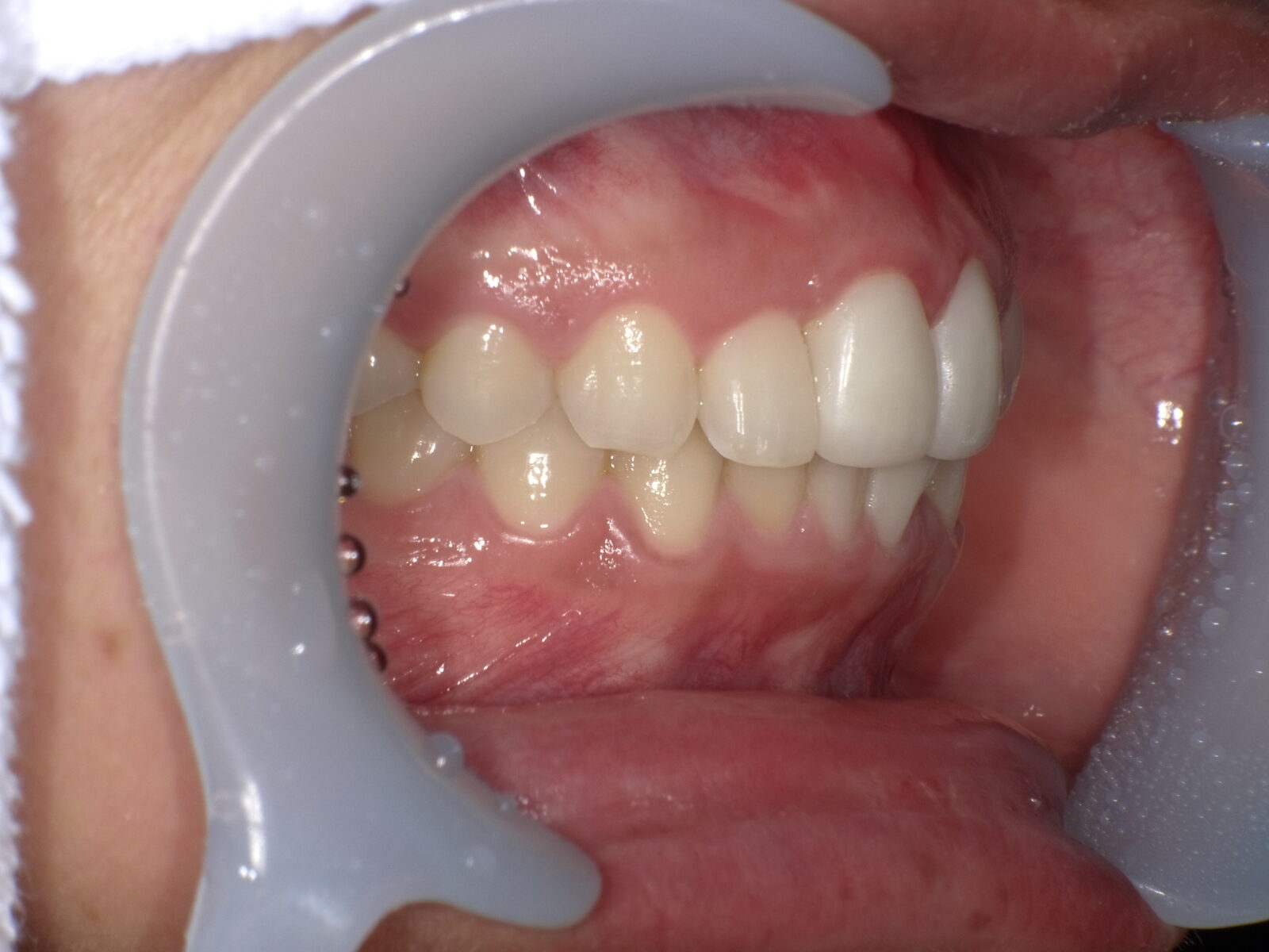
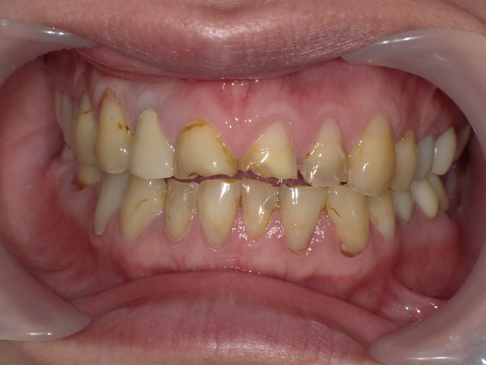
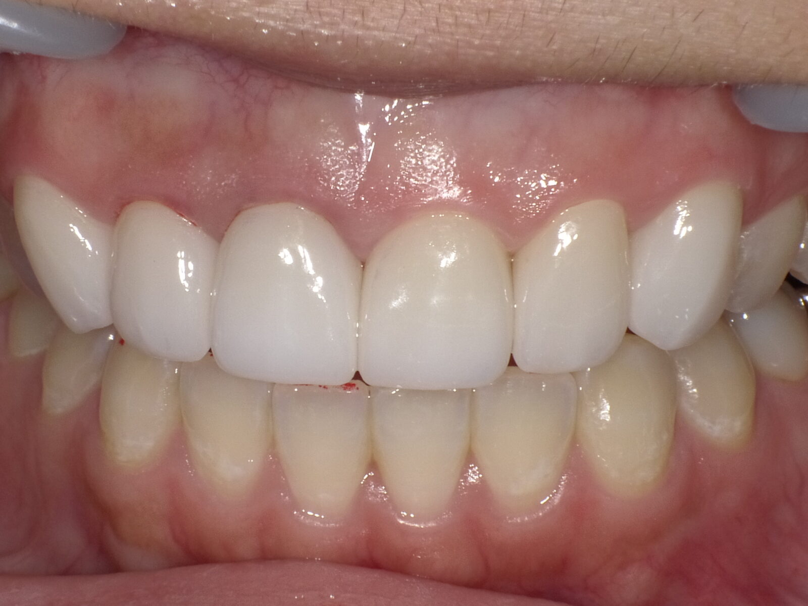
歯並びを改善するためには通常「歯列矯正」が選ばれ、一方で歯の形や色を整える場合は「セラミック治療」が用いられることが一般的です。当院では、これらを組み合わせたセラミック矯正を提供しています。これは、セラミックの被せ物によって歯の形や色だけでなく、歯並びも同時に整える方法です。
多くの患者さんから、一般的な矯正治療とセラミック矯正の違いについてご質問いただいております。以下にその比較を簡単にまとめましたので、ぜひご覧ください。
歯列矯正とセラミック治療の比較
| 治療期間 | 治療法 | その他 |
|---|
矯正治療 | 1年半~2年 | 矯正装置 | ・抜歯が必要な場合がある ・歯並びの後戻りのリスクがある |
セラミック矯正 | 1回~3回 | セラミックの被せ物 | ・抜歯は不要 ・歯の色/形の調整も可能 ・歯を削る必要がる |
ご覧の通り、セラミック矯正は短期間で美しい歯を手に入れる利点があります。しかし、その反面として「健康な歯を削る」必要が生じます。セラミックの被せ物を使用するためには、どうしても天然歯を削る工程が含まれます。
このため、健康な歯を削ることに抵抗がある方には、この治療法はお勧めできません。そのような方には、矯正治療をご検討いただくことをお勧めします。詳細は、矯正治療のページをご覧ください。
セラミック矯正が適している方とは?
以下に該当する方には、矯正装置を用いた治療よりもセラミック矯正をおすすめしています。
- ・短期間で歯並びを改善したい方
- ・特定の部位を集中的に治療したい方
- ・矯正装置の使用が面倒だと感じる方
- ・歯並びだけでなく、色や形も改善したい方
- ・矯正による持続的な痛みを避けたい方
初診「個別」相談へのご案内
当院では、患者さんが抱えていらっしゃるお口のお悩みや疑問・不安などにお応えする機会を設けております。どんなことでも構いませんので、私たちにお話ししていただけたらと思います。
ご興味がある方は下記からお問い合わせください。

〒812-0011
福岡市博多区博多駅前3-26-29
九勧博多ビル 1階
JR博多駅から3分