歯ぐきを整え、笑顔に自信を
ガミースマイルは
歯科的なアプローチで整えられます。
- クラウンレングスニング
- 歯列矯正による改善
- ボトックス治療
- 複数の治療法から選択可能
ガミースマイルの原因は?
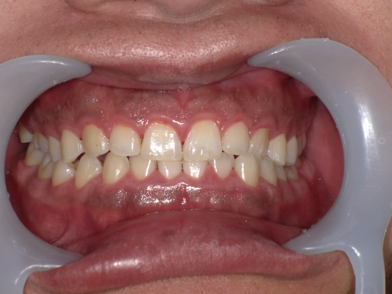
笑うと歯ぐきが極端に見えてしまう状態のことを総称して「ガミースマイル」といいます。
咬み合わせなどの機能面では問題がなくても、見た目に関しては非常に目立ち、口を開けて笑えないなど、ご本人にとっては深刻な悩みになることが多いです。
ガミースマイルの症状には、大きく分けて3つの原因があります。
口唇タイプ
笑ったときに上唇が大きくめくれ上がるタイプです。
ボトックス注射で上唇の動きを抑えることで一時的な改善は可能ですが、不自然な笑顔になることもあります。
骨格タイプ
上あごの骨が長い、または前方に出ているタイプです。
美容外科で骨を短くする外科手術により根本的な改善はできますが、全身麻酔や長期のダウンタイムが必要で、リスクも高い治療です。
歯並びタイプ
出っ歯や咬み合わせのズレによって歯ぐきが見えてしまうタイプです。
この場合は矯正治療(インビザラインなど)で自然に改善できるケースが多く、手術の必要がなくリスクも低いのが特徴です。
ご自身のガミースマイルがどのタイプにあたるかは、無料カウンセリングで詳しく診断いたします。お気軽にご相談ください。
ガミースマイルのデメリット
ガミースマイルは見た目だけの問題ではなく、お口の健康にも影響を与えることがあります。 笑ったときに歯ぐきが大きく見える方は、お口が乾燥しやすい傾向があり、 その結果、次のようなトラブルを引き起こしやすくなります。
・虫歯や歯周病になりやすい
・口臭が発生しやすい
特に、ガミースマイルの方の多くは出っ歯(上顎前突)を併発しているケースもあり、 口をしっかり閉じるのが難しくなることで、 お口の中が常に乾燥し、唾液の免疫作用が低下してしまいます。 唾液は、細菌の増殖を抑える大切な役割を持っています。 そのため、唾液がうまく働かないと、虫歯・歯周病・口臭のリスクが大幅に高まるのです。
歯科でのガミースマイルの治療法
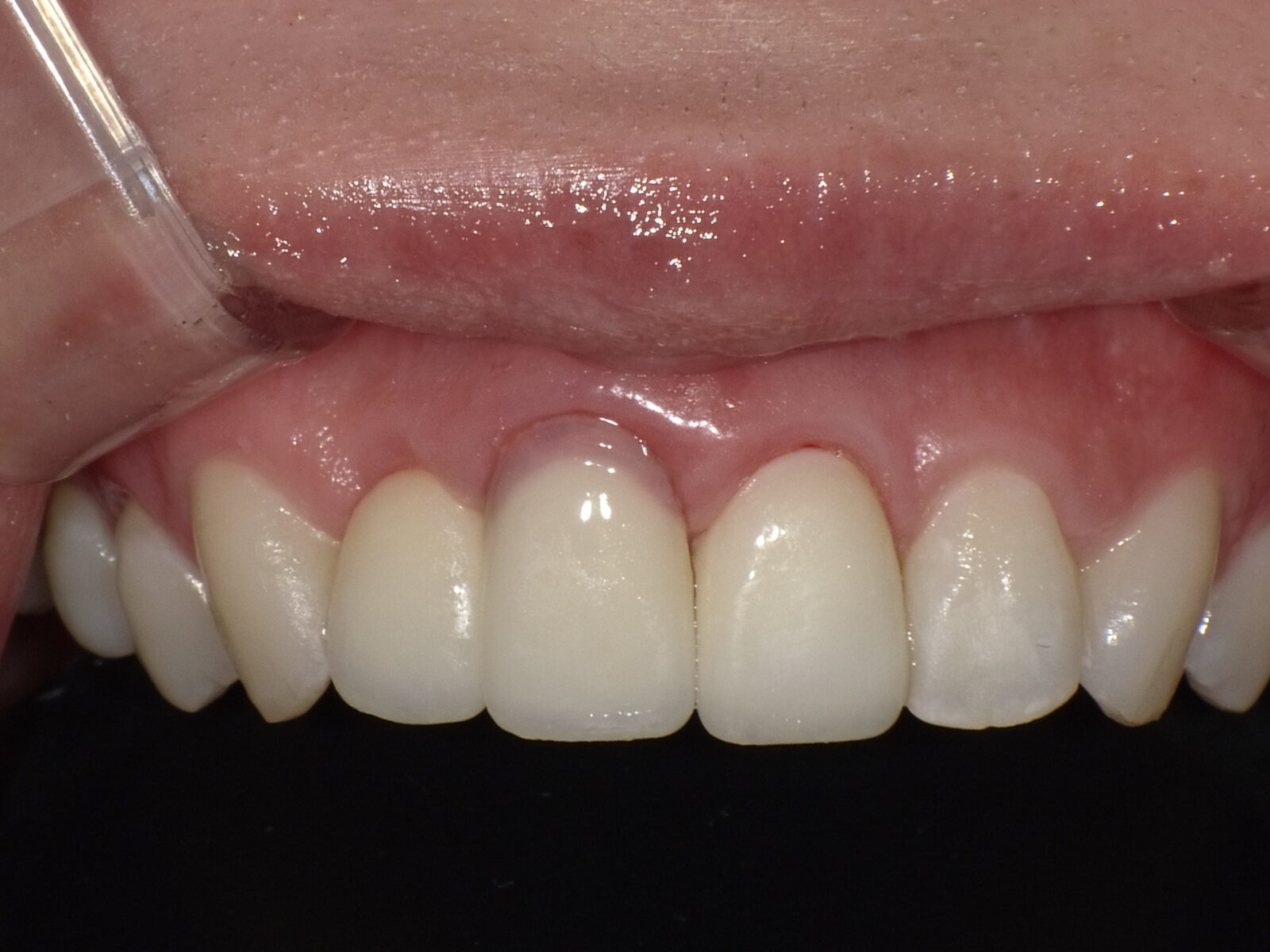
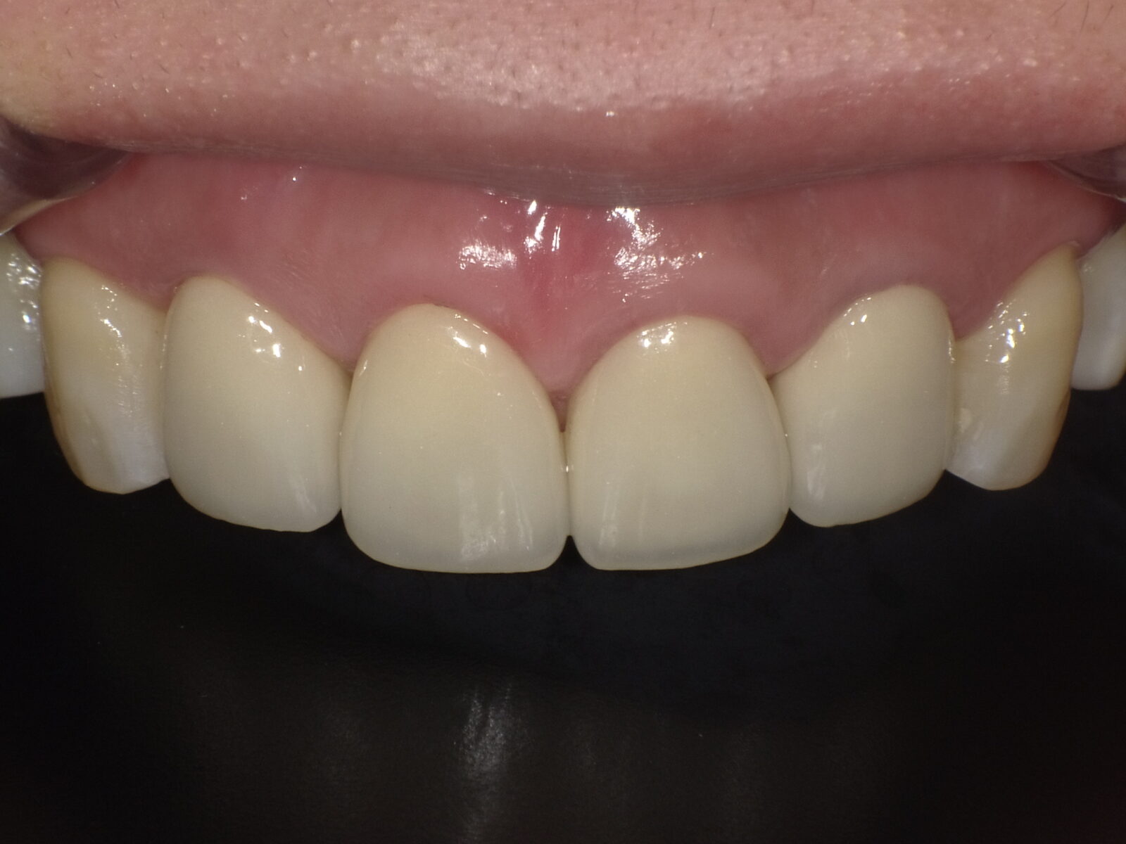
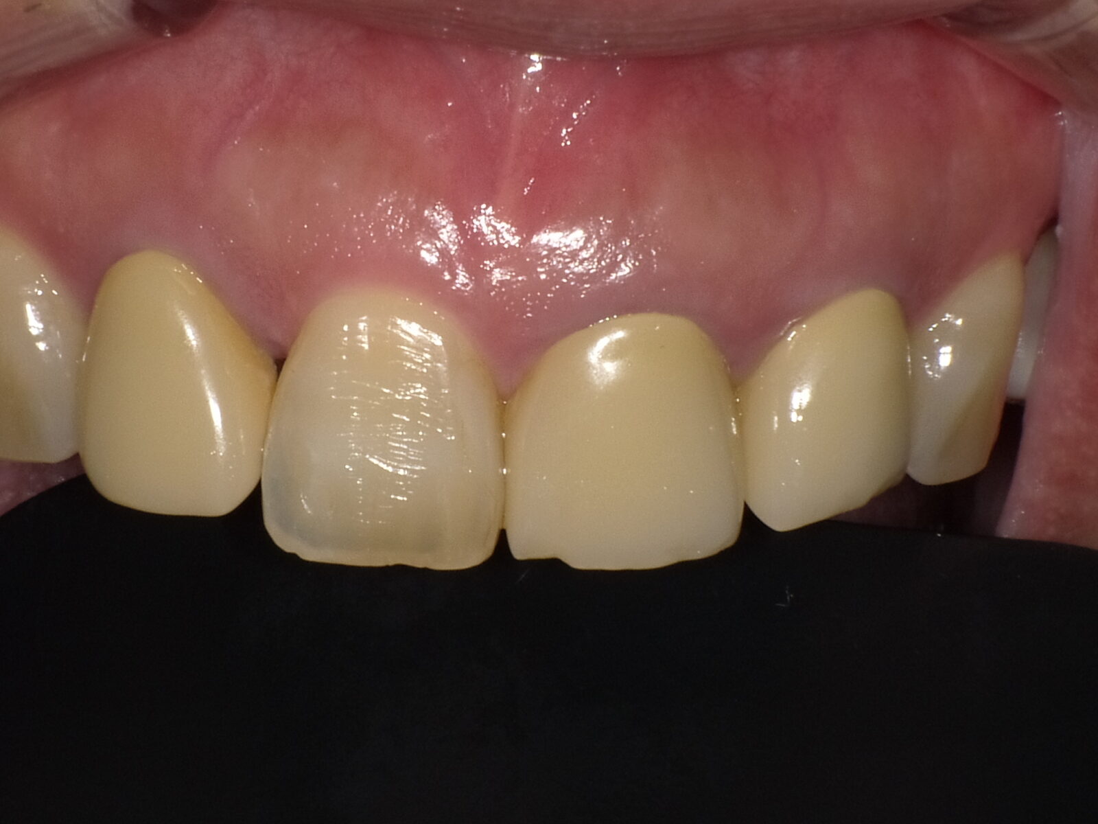
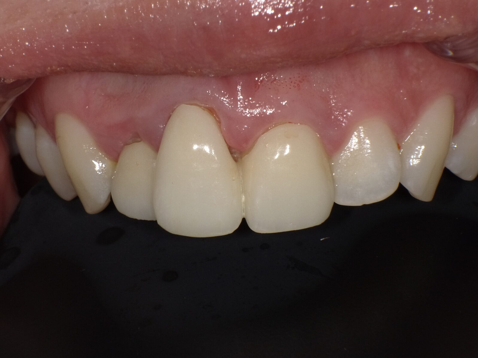
クラウン・レングスニング(歯冠長延長術)による治療
ガミースマイルを改善する方法のひとつに、
「クラウン・レングスニング(歯冠長延長術)」という外科的処置があります。
この方法では、歯ぐきを切開し、歯根の周囲の骨を約5〜7mm切除することで、
歯の見える部分(歯冠)を長くし、笑ったときに歯ぐきが見えすぎないように整えます。
処置後は、歯根が露出して歯の形が不自然になる場合があるため、同時に前歯のセラミック治療を行い、自然で美しい歯の形に整えます。
メリット
・短期間で治療が完了(矯正に比べて早い結果が得られます)
・歯の形・色・並びを理想に合わせてデザイン可能
注意点
・外科的な処置が必要となります
・セラミックを装着するため、歯を削る必要があります
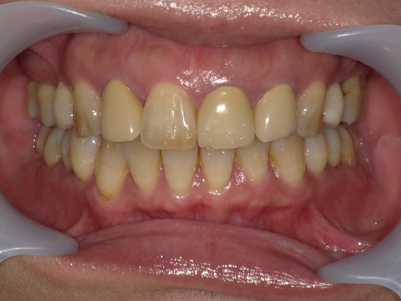
マウスピース矯正
歯ぐきを切らず、歯を大きく削らずにガミースマイルを改善する方法として、 最も自然で負担の少ない治療が「歯列矯正」です。
原因や症状によっては適応できない場合もありますが、ワイヤー矯正・マウスピース矯正(インビザライン)のどちらでも 歯の位置をコントロールし、笑ったときの歯ぐきの見え方を整えることができます。
特に、ガミースマイルの方は出っ歯を併発しているケースが多いため、 目立ちにくく快適に治療が進められる インビザライン(マウスピース矯正) がおすすめです。
詳しくは → マウスピース型矯正のページをご覧ください。
インビザラインによるガミースマイルの改善
インビザラインでは、歯の位置や角度、咬み合わせを精密にコントロールすることで、
笑ったときに歯ぐきが見えやすい「
ガミースマイル」を改善できる場合があります。
・前歯の位置を適切に下げる
・奥歯をわずかに上方向へ移動させる(圧下)
このような矯正を行うことで歯ぐきの露出を自然に減らし、よりバランスのとれた笑顔へ導きます。
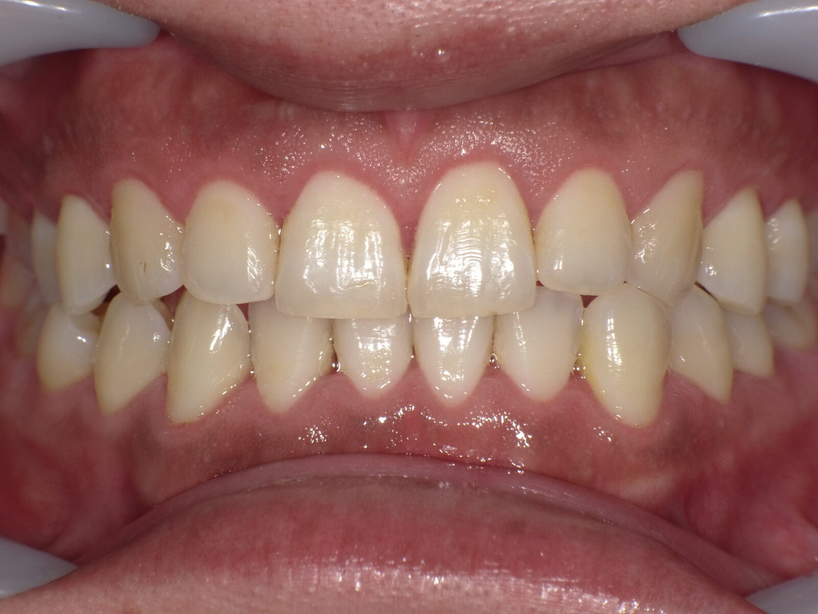
軽度〜中等度のガミースマイルであれば、外科処置を行わず、マウスピース矯正のみで改善できるケースもあります。
一方で、骨格的な原因が大きい場合には、外科的矯正や歯ぐきの整形などを併用することで、より理想的な仕上がりを目指すことが可能です。
初診「個別」相談へのご案内
当院では、患者さんが抱えていらっしゃるお口のお悩みや疑問・不安などにお応えする機会を設けております。どんなことでも構いませんので、私たちにお話ししていただけたらと思います。
ご興味がある方は下記からお問い合わせください。

〒812-0011
福岡市博多区博多駅前3-26-29
九勧博多ビル 1階
JR博多駅から3分